www.annscri.org

Case Report

Open Access, Volume 2

Abdominoperineal resection for refractory proctitis: A case report

Vasundhara Deo*

Senior Resident, Department of General Surgery ESIC Hospital, Bibvewadi, Pune, Maharashtra 411037, India.

Abstract

A 58-year-old male with a history of hypertension presented with alternating episodes of loose stools and constipation over 3-4 months, accompanied by indigestion and frequent rectal bleeding. Initial laboratory investigations were unremarkable, but progressive obstructive symptoms documented via Contrast-Enhanced CT (CECT) and colonoscopy in May 2025 necessitated a shift to a liquid diet. Earlier CECT in February 2025 revealed diffuse thickening of the large bowel, rectum, mesorectum, and anal canal, suggestive of an inflammatory process, confirmed by colonoscopy biopsy. Despite aggressive medical therapy and multiple admissions, symptoms persisted, and digital rectal examination revealed narrowing within 5-7 cm of the anal verge, consistent with a progressive rectal stricture. Following multidisciplinary evaluation and concern over the patient’s declining nutritional status, Abdominoperineal Resection (APR) was performed. Intraoperative findings included dense inflammatory adhesions involving the prostate, seminal vesicles, and vas deferens, requiring division of the iliococcygeal ligament. Histopathological examination confirmed chronic proctitis. The patient recovered uneventfully and was discharged on postoperative day 15 with satisfactory oral intake, and regular follow-up every three months was advised.

Keywords: Chronic proctitis; Abdominoperineal resection (APR); Rectal stricture; Refractory colitis.

Manuscript Information: Received: Sep 19, 2025 Accepted: Oct 16, 2025 Published Online: Oct 23, 2025

Journal: Annals of Surgical Case Reports & Images

Online edition: https://annscri.org

Copyright: © Deo V (2025). This Article is distributed under the terms of Creative Commons Attribution 4.0 International License.

Cite this article: Deo V. Abdominoperineal resection for refractory proctitis: A case report. Ann Surg Case Rep Images. 2025; 2(2): 1100.

Introduction

Rectal strictures secondary to Inflammatory Bowel Disease (IBD) are rare and typically respond to medical and endoscopic management. Surgical resection is reserved for cases with refractory symptoms, failed conservative treatment, or suspected malignancy. This report presents a complex case of chronic proctitis evolving into a low-lying rectal stricture with obstructive symptoms and nutritional compromise that ultimately required definitive surgical management via Abdominoperineal Resection.

Case presentation

Patient profile

• Age/Sex: 58-year-old male

• Medical history: Hypertension and prior hemorrhoidal disease.

Clinical presentation

The patient reported a 3-to 4-month history of alternating loose stools, constipation, indigestion, and frequent rectal bleeding. The initial laboratory test results were within the normal limits.

Initial diagnostic workup (February 2025)

• Contrast-enhanced computed tomography imaging Diffuse thickening of the large bowel, rectum, mesorectum, and anal canal suggestive of inflammation.

• Endoscopy: Colonoscopy with biopsy confirmed an inflammatory aetiology consistent with IBD.

Subsequent clinical course (May 2025)

Despite medical management and repeated hospitalizations, the symptoms persisted. A second CECT and colonoscopy revealed features of early bowel obstruction. The patient was switched to a liquid diet under dietician guidance to mitigate complications.

Stricture evolution

Digital rectal examination became increasingly limited, with palpable assessment restricted to 4 cm from the anal verge, indicating progressive stricture. Repeat imaging and biopsies continued to support an inflammatory origin, without malignancy.

Surgical management

Given the refractory nature of symptoms and the development of a low-lying stricture, multidisciplinary consensus has favoured surgical intervention. Serial dilatation was considered but deemed unsuitable because of the patient’s nutritional anaemia and obstructive signs.

Intraoperative findings

Dense adhesions were noted between the rectum and adjacent structures, including the prostate and the anterior rectal wall. The iliococcygeal ligament was divided to facilitate mobilization. However, a sphincter-preserving procedure is not feasible, necessitating the use of APR.

Figure 1: Surgical specimen of sigmoid, rectum anal canal with premium.

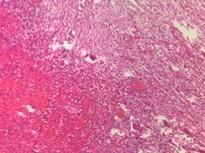
Figure 2: Histopathology findings as proctitis.

Resected specimen

Included the sigmoid colon, rectum, anal canal, perineal tissue, and the skin. Histopathology confirmed chronic proctitis with dense lymphoplasmacytic infiltrates, crypt distortion, and focal neutrophilic activity. No dysplasia or malignancy was observed in any patient.

Postoperative course

Recovery was uneventful. Minor postoperative complications were managed conservatively. The patient resumed oral intake and was discharged on day 15. Follow-up every three months was recommended.

Discussion

This case underscores the potential for chronic inflammatory colitis to progress to a clinically significant rectal stricture with obstructive symptoms. Despite appropriate medical treatment, the disease has evolved, necessitating surgical intervention. APR, typically reserved for malignancy, is essential in this refractory inflammatory scenario. Dense adhesions and altered anatomy preclude sphincter preservation. Early recognition and timely surgical management are critical in such cases, especially when the nutritional status deteriorates.

Conclusion

In patients with refractory proctitis and progressive rectal strictures, APR may be warranted when conservative measures fail. Comprehensive preoperative evaluation and multidisciplinary planning are vital. Regular postoperative monitoring ensures optimal recovery and early detection of complications.

Declarations

Conflict of interest statement: The authors declare no conflicts of interest related to this case report.

Data access statement: All the data supporting the findings of this study are available from the corresponding author upon reasonable request.

Ethical statement: Informed consent was obtained from the patient for publication of this case report and accompanying images. The institutional ethical guidelines were followed.

Funding statement: No external funding was received for the preparation of this manuscript.

References

  1. Fehily SR, Martin FC, Kamm MA. Simple novel tacrolimus enemas are very effective in severe refractory proctitis. J Crohns Colitis. 2019; 13: S402.
  2. Raja SS, Bryant RV, Costello SP, et al. Systematic review of therapies for refractory ulcerative proctitis. Practical Gastroenterology. 2021.
  3. Garcia-Henriquez N, Galante DJ, Monson JRT. Selection and outcomes in abdominoperineal resection. Front Oncol. 2020; 10: 1339.
  4. Choi MS, Yun SH, Shin JK, et al. Single-port robot-assisted abdominoperineal resection: a case review of the first four experiences. Ann Coloproctol. 2022; 38: 88–92.
  5. Albano MN, Louro JM, Brito I, Ramos S. Perineal reconstruction using an inferior gluteal artery perforator flap after abdominoperineal resection. BMJ Case Rep. 2019; 12: e228613.
  6. Heald RJ, Ryall RD. Recurrence and survival after total mesorectal excision for rectal cancer. Lancet. 1986; 1: 1479–82.
  7. Miles WE. A method of performing abdomino-perineal excision for carcinoma of the rectum and of the terminal portion of the pelvic colon. Lancet. 1908; 2: 1812–3.
  8. Wexner SD, Duthie GS. Surgical treatment of ulcerative colitis and refractory proctitis. In: Wexner SD, Duthie GS, editors. Colorectal Surgery. London: Springer. 1999.
  9. Gorfine SR, et al. Persistent perineal sinus after APR: management strategies. Dis Colon Rectum. 2005; 48: 2052–7.